№1, 2006 г.


Лауреаты Нобелевской премии 2005 года
по физиологии или медицине -
Б.Маршалл и Р.Уоррен

 Нобелевская премия по физиологии или медицине за 2005 г. присуждена двум австралийским врачам - гастроэнтерологу Бэрри Маршаллу и патоморфологу Робину Уоррену - “за открытие бактерии Helicobacter pylori и ее роли при гастрите и язвенной болезни” *.

* Примеч. ред.: об этом открытии см: Аруин Л.И., Жуховицкий В.Г., Григорьев П.Я. Хронический гастрит и язвенная болезнь - инфекционные заболевания? // Природа.1995. № 3. С.22-45.
Бэрри Маршалл (Barry J.Marshall) родился в 1951 г. в Калгурли (Западная Австралия). После окончания Университета Западной Австралии поступил в Королевский госпиталь г.Перта (расположенного недалеко от университета) в качестве стажера-исследователя, намереваясь заняться кардиологией. Но, узнав о работе Робина Уоррена, увлекся проблемами гастроэнтерологии. В 1986 г., получив место в департаменте гастроэнтерологии Медицинского центра Университета Виргинии, переехал в г.Шарлоттсвил (штат Виргиния, США). В 1996 г. вернулся в Перт на должность профессора клинической микробиологии Университета Западной Австралии. В настоящее время - научный руководитель основанной им инновационной компании “Ondek Pty. Ltd”.

Робин Уоррен (J.Robin Warren) родился в 1937 г. в Аделаиде (Южная Австралия). В 1961 г. окончил Университет Аделаиды (старейший университет страны и один из наиболее развитых научных центров, из стен которого вышли три австралийских нобелевских лауреата). После стажировки в качестве патоморфолога в Королевском госпитале Мельбурна избран членом Королевского общества патологов Австралии и Океании (Royal College of Pathologists of Australasia, 1967). С 1968 г. по 1999 г. работал консультантом-патологом Королевского госпиталя Перта. В настоящее время - пенсионер.

Б.Маршалл (слева) и Р.Уоррен (1984).

Присуждение Нобелевской премии практикующим врачам, не отягощенным титулами и учеными званиями, не располагающим новейшей исследовательской аппаратурой, - случай крайне редкий. Австралийские врачи - неутомимый энтузиаст Бэрри Маршалл и неспешно поспешающий Робин Уоррен - стали нобелевскими номинантами в 1992 г., а лауреатами в 2005 г. Это событие - пример по достоинству вознагражденного исследовательского усилия, подтверждающего хрестоматийный тезис о простоте гениального.

“Изогнутые палочки”, ныне именуемые пилорическим хеликобактером (Helicobacter pylori), Уоррен, по его свидетельству, обнаружил в свой день рождения (11 июня 1979 г.), и произошло это, судя по всему, случайно: во время рутинного диагностического гистологического исследования он обратил внимание на необычную голубую линию на поверхности слизистой оболочки желудка больного активным хроническим гастритом. Изучив изрядное число биопсийных образцов с применением разнообразных способов окраски, Уоррен предположил, что развитие гастрита связано с некой бактерией, тесно контактирующей с поверхностью эпителия желудка. Двухлетнее терпение, с каким Уоррен преодолевал скепсис, недоверие и прямые отказы от сотрудничества коллег, было вознаграждено встречей с Бэрри Маршаллом - врачом-стажером, заинтересовавшимся стремлением патолога перевести гастрит в разряд бактериальных инфекций.

В 1981 г. началась клинико-экспериментальная проверка гипотезы Уоррена. Спустя всего год исследователям удалось не только достоверно (на основе параллельного гистологического и бактериологического исследования ста биоптатов слизистой оболочки желудка) подтвердить связь обнаруженного микроорганизма с развитием хронического гастрита, но и выделить первую чистую культуру, состоящую из активно подвижных, изогнутых палочковидных грамотрицательных бактериальных клеток. Бактерии были отнесены к роду Campylobacter и названы C.pyloridis (позднее грамматически некорректное первоначальное видовое название было изменено на C.pylori), однако в двух первых кратких сообщениях, опубликованных в 1983 г. в старейшем медицинском журнале “The Lancet”, Уоррен и Маршалл ограничились термином “неидентифицированные изогнутые палочки” [1, 2]. В том же году на Европейском симпозиуме, посвященном кампилобактериям (Campylobacter), Маршалл выступил с сообщением об открытии новой бактерии. Его поддержал М.Б.Скирроу, предложивший еще в 1977 г. для выделения кампилобактерий искусственную питательную среду, которой с успехом и воспользовались позднее Маршалл и Уоррен. (Любопытно, что тезисы доклада, поданные Маршаллом и Уорреном в феврале того же 1983 г. на ежегодный съезд гастроэнтерологического общества Австралии, были отклонены оргкомитетом.)

Убедившись в существовании неизвестной ранее бактерии, Уоррен и Маршалл приступили к доказательству ее патогенности - задаче, требующей в отсутствие экспериментальной модели инфекционного процесса нетривиального решения. Такое решение было найдено. Маршалл выполнил эксперимент по самозаражению в классической аранжировке: после медикаментозного подавления секреции соляной кислоты желудка он проглотил взвесь бактериальных клеток высокой множественности, выделенных от больного активным хроническим гастритом. Вскоре экспериментатор заболел гистологически подтвержденным острым гастритом, и из биоптата слизистой оболочки его желудка была выделена все та же изогнутая палочка. После курса терапии, спланированного с учетом сведений о чувствительности к антибиотикам экспериментальной культуры, пациент-экспериментатор выздоровел, что было подтверждено эндоскопическим, гистологическим и бактериологическим методами. (Интересно, что второй эксперимент по самозаражению, проведенный независимо от Маршалла, протекал более драматично: новозеландский гастроэнтеролог А.Моррис, заразивший себя культурой, выделенной от больного язвенной болезнью, лечился от возникшего у него хронического гастрита несколько лет.)


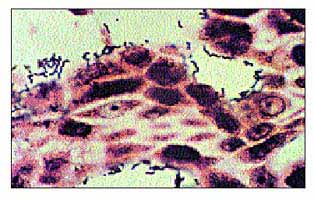
Биоптат слизистой оболочки антрального отдела желудка 43-летнего Б.Маршалла.
10-й день эксперимента по самозаражению.
Серебрение по Вартину-Стэрри. Увел. 640.
Отчетливо видны изогнутые бактериальные клетки на поверхности клеток эпителия желудка.
© 2002 Blackwell Science Asia Pty Ltd

Итак, участие C.pylori в развитии гастрита было доказано, причем с выполнением всех постулатов Коха - триады требований, установленных для подтверждения роли микроорганизма в этиологии заболевания. Уоррен и Маршалл сосредоточились на разработке методик выявления C.pylori и схем терапии, направленной на эрадикацию бактерии - полное освобождение желудка от ее присутствия. Маршалл предложил быстрый уреазный и дыхательный тесты, основанные на способности C.pylori к интенсивному гидролизу мочевины, катализируемому уреазой - ферментом, в избытке присутствующим в клетках этой бактерии. Терапевтические схемы, разработанные Маршаллом, основаны на первой удачной эмпирической попытке, предпринятой в 1981 г., когда до выделения первой культуры C.pylori оставалось не менее полугода: пациент, страдающий хроническим гастритом, был излечен тетрациклином - антибиотиком, активным против Campylobacter. В дальнейшем эрадикационная терапия стала существенно сложнее: антибактериальные препараты (антибиотик метронидазол и коллоидный субцитрат висмута) использовались в комбинации с антисекреторными средствами - ингибиторами секреции соляной кислоты клетками эпителия желудка.

Микрофотографии H.pylori: изолированный (чистая культура; увел. 9500; электронограмма М.Блока; © 1997 Sparre Medical AB ) и популяция (биоптат из антрального отдела желудка; увел. 3900; электронограмма Г.Стира; © 2002 Blackwell Scientific Publications).
Задача, поставленная Уорреном и Маршаллом, была успешно решена. Их совместная работа завершилась. В 1986 г. Маршалл уехал в США, и дальнейшее изучение бактерии, открытой врачами из Королевского госпиталя Перт, фактически не связанно с их именами. Этой проблемой занялись несколько исследовательских групп: А.Ли в Сиднее и К.Макнулти в Вустере (Великобритания) впервые после первооткрывателей получили чистую культуру “бактерии Уоррена-Маршалла”, а С.Гудвин с сотрудниками из того же Королевского госпиталя Перта подробно описали ее и, выделив в самостоятельный род, назвали Helicobacter pylori. С тех пор пилорический хеликобактер, инфицирующий, по данным эпидемиологов, не менее половины населения планеты, привлекает внимание специалистов различного профиля - от микробиологов и молекулярных биологов до санитарных врачей и организаторов здравоохранения.

В 1987 г. была создана Европейская группа по изучению пилорического хеликобактера (The European Helicobacter pylori Study Group) - неправительственная структура, призванная координировать усилия различных групп исследователей. (Впоследствии подобные группы возникли в различных странах; восемь лет спустя такая группа создана и в России по инициативе профессора Л.И.Аруина - одного из пионеров изучения H.pylori в нашей стране.)

В 1990 г. на IX международном конгрессе гастроэнтерологов принята Сиднейская классификация гастритов, отводящая H.pylori роль одного из пяти диагностических критериев. В 1994 г. согласительная комиссия Американского национального института здоровья (U.S. National Institute of Health) признала ведущую роль пилорического хеликобактера в возникновении и развитии язвенной болезни, а Международное агентство по изучению рака (International Agency for Research on Cancer, Франция) причислила H.pylori к канцерогенам I типа. В 1996 г. предложена новая классификация лимфопролиферативных заболеваний, где пилорический хеликобактер назван доминирующим фактором возникновения и развития В-клеточной лимфомы низкой степени злокачественности.

В 1997 г. страны Европейского Союза приняли “Маастрихтский консенсус” - согласованные рекомендации по диагностике и лечению заболеваний и состояний, ассоциированных с H.pylori. (В 2001 и 2005 гг. эти рекомендации были дополнены курсами лечения, основанными на применении антихеликобактерных и антисекреторных лекарственных средств.) В 1998 г. Минздрав России выпустил обширные “Стандарты по диагностике и лечению заболеваний”, где в разделе, посвященном хроническому гастриту и язвенной болезни, нормируется назначение противохеликобактерной эрадикационной терапии.

Пилорический хеликобактер и по сей день изучается необычайно интенсивно: компьютерная сеть PubMed (http://ncbi.nlm.nih.gov/PubMed) содержит более 21 тыс. упоминаний о нем - лишь кишечной палочке посвящено большее число публикаций по бактериологии. Установлено, что род Helicobacter состоит по крайней мере из 29 видов, из них 13 встречаются в желудке человека и животных (кошки, собаки, свиньи, обезьяны, гепарда), 16 - в печени животных и изредка человека. Кроме того, оказалось, что H.pylori свойствен выраженный полиморфизм: форма его клеток в значительной степени зависит от условий существования. Подробно изучены ультраструктура и морфология H.pylori, его физиологические, биохимические и метаболические особенности, полностью расшифрован его геном, описаны факторы патогенности и патогенез хеликобактериоза, а также его эпидемиологические особенности. Установлено, что распространенность пилорического хеликобактера в различных регионах мира определяется как уровнем экономического развития страны, так и социальным уровнем отдельных групп населения внутри страны. К примеру, в Китае инфицировано 55-85% населения, в Колумбии - 93%, в Великобритании - 15%, в Дании - 25%, в Италии 10-63%, в США - 15-80%. Несомненной группой риска во всех без исключения регионах мира считаются дети до 5 лет, причем для них степень риска возрастает пропорционально степени скученности проживания. Кроме того, выделяются группы профессионального риска, в первую очередь медицинский персонал эндоскопических отделений и кабинетов.

Распространенность пилорического хеликобактера в мире (www.helico.com).

Значение открытия Уоррена и Маршалла трудно переоценить: оно потребовало пересмотра традиционных взглядов на возникновение, развитие и терапию весьма широкого круга заболеваний, а также существенно обогатило собственно бактериологическую методологию. В какой мере закономерно получение ими Нобелевской премии? На этот вопрос ответил сам Робин Уоррен: “Я оказался в нужное время в нужном месте, кроме того, мне немного сопутствовала удача, и хотя я ничего не знал о результатах своих предшественников, «No man is an island, [entire of itself]…»” *.

* “Нет человека, который был бы как остров, [сам по себе]…” - слова из проповеди британского поэта и священнослужителя Джона Донна (1572-1631).
Что до предшественников, поспешивших объявить о своих приоритетах после опубликования результатов Уоррена и Маршалла, то их исследовательская судьба на хеликобактериологическом поприще различна. Среди них и Дж.М.Пападимитриу, не нашедший в свое время возможным объединиться с доктором Уорреном в поиске истины, и наш соотечественник И.А.Морозов, беспечно прошедший мимо полученного им блестящего электронно-микроскопического изображения пилорического хеликобактера, во сто крат более информативного, нежели “необычная голубая линия” доктора Уоррена, и познавший жестокое невезение Г.У.Стир, целенаправленно продвигавшийся к намеченной цели, но не обнаруживший ничего значительнее псевдомонады. Все они, как и многие другие, были утешены Бэрри Маршаллом, великодушно выпустившим в свет под своей редакцией сборник “Helicobacter pioneers” [3].

Удача, по словам Пастера, одаривает лишь подготовленные умы. Робин Уоррен и Бэрри Маршалл оказались в наилучшей степени подготовлены к встрече с удачей. Кроме того, они блестяще справились с ролью первооткрывателей - можно ли ожидать иного от исследователей, по крайней мере один из которых свободно цитирует Джона Донна?

© Жуховицкий В.Г.,
кандидат медицинских наук
Городская клиническая больница им.С.П.Боткина
Департамента здравоохранения Москвы

Литература

1. Warren J.R. // Lancet. 1983. P.1273.

2. Marshall B.J. // Lancet. 1983. P.1273-1275.

3. Marshall B.J. Helicobacter pioneers: Firsthand Accounts from the Scientists who Discovered Helicobacters 1892-1982. Blackwell Publishing, 2002.
 




Декабрь 2005